Експериментална терапия дава надежди за лечението на левкемия

1
Добави коментар
nikolakgeorgiev
nikolakgeorgiev

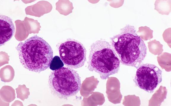
Медиците са успели да постигнат пълна ремисия при трима от четиримата участници в експеримента

Етикети
терапия, левкемия

Американски учени от авторитетния медицински център за борба с рака MSKCC (Memorial Sloan-Kettering Cancer Centre) в Ню-Йорк създадоха нова експериментална терапия, която може да доведе до методи за пълно излекуване на болни в късен стадий от смъртоносния рак на белите кръвни телца, наречен Б-клетъчна остра лимфобластна левкемия, съобщи New York Times.

В ранен стадий на клинични изпитания с пациенти медиците са успели да постигнат пълна ремисия при трима от четиримата участници в експеримента. В организма на пациентите не са били открити ракови клетки, в продължение на 5 до 24 месеца след прилагането на терапията, пише сп. „Обекти“.

Големият пробив в случая се състои във факта, че до момента медицината не можеше да направи практически нищо за болни в това състояние – със завърнал се рак и резистентност към химиотерапията.

Същността на експерименталното лечение е в инжектирането на допълнителни гени, които помагат на белите кръвни телца да откриват и унищожават раковите клетки в кръвта на болния. Прилагането на генната терапия е било последвано от трансплантация на костен мозък на пациентите. Според медици, независими от конкретния експеримент, новата терапия не е метод за пълно възстановяване от остра лимфобластна левкемия, но представлява важна стъпка в тази насока.

Автор:

Борислава Замфирова

Разпечатай
Изпрати