Прегледайте се безплатно за туберкулоза тази седмица

10
474
Добави коментар
zivvo
zivvo

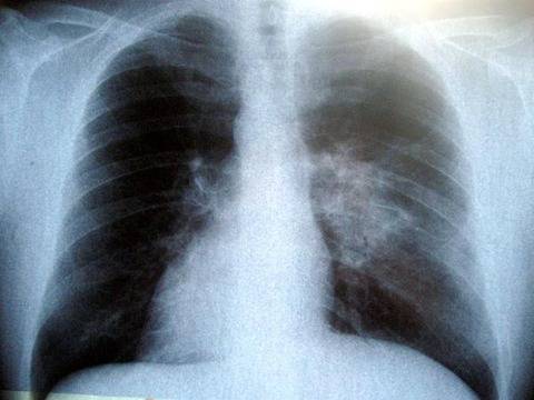
 От Министерство на здравеопазването обявиха, че в лечебните заведения за диагностика и лечение на туберкулоза стартират безплатни прегледи за туберкулоза от 19 до 23 юни 2017 г „Дни на Отворени врати”. Списък на лечебните заведения с адреси – вижте по-долу. 

Тази инициатива се осъществява по Програма „Подобряване на устойчивостта на Националната програма по туберкулоза”. Програмата е към Министерство на здравеопазването, финансирана от Глобалния фонд за борба срещу СПИН, туберкулоза и малария.

Списък на болниците за безплатни прегледи

loading…