Как да се отървете от зъбния камък сами?

1
246
Добави коментар
purple-rain
purple-rain

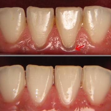
Как да решите проблема с нежелания зъбен камък , който постоянно се насъбира между зъбите ви? Освен редовното миене на зъбите и използване на зъбен конец, има още няколко алтернативни решения.

 

Ябълков оцет 
В една чаша налейте малко ябълков оцет и в него намокрете четката за зъби, след няколко минути изчеткайте зъбите. След това нормално измийте зъбите
 

Кора от портокали

Изтъркайте зъбите с вътрешната част на кората на портокал преди лягане и без да изплаквате устата оставете да действа през нощта. На сутринта нормално измийте зъбите.

 

Сол 
Разтопете една супена лъжица сол в чаша топла вода и измийте зъбите. Освен, че това ще ви помогне в борбата срещу зъбния камък, солта  избелва зъбите. Може да разбърквате със сода за хляб и добре да измиете зъбите.