Зъболекар – какво трябва да знаем?

1
Добави коментар

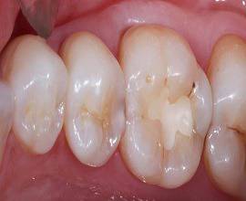
Пломбата, наричана за по-правилно обтурация, представлява материала, който се поставя на зъба, след като се премахне кариозната лезия. Тя може да бъде изградена от различни по вид материали. Схематично…

Прочети повече

1
Добави коментар

Болката от зъбен произход е най-честата причина за среща между лекар и пациент. Обикновенно прегледите започват с установяване на увредения зъб и вида на заболяването. Част от въпрасите към пациента са свързани с вида и характера на болката и момента, в който се е появила. След обстойно снетата анамнеза и извършване на параклинична дейност (рентгенографии, ЕОД, кръвни изследвания и т.н.) се пристъпва към лечението. За жалост във всички случаи, независимо от болката и зъба, то е закъсняло и то цели отсраняване на проблема, а не превенцията му. Главната задача на модерната медицина е да се допуска персистирането на даден проблем и да се лекува в крайна фаза. Болката не трябва да бъде причина за…

Прочети повече