Порцеланови фасети

1
Добави коментар
georgi1337
georgi1337

Порцеланови фасети

Порцелановите фасети са специална финна конструкция, която се изработва от керамика. Тази конструкция се залепва върху предната  повърхност на зъба чрез специално естетично „лепило“. При поставянето им е необходимо зъбите да се изпилят с приблизителна дебелина от 0,3 до 0,6 мм, което най-често засяга единствено емайла на зъбите. При посочения начин на поставяне, предната страна (от към устни и бузи) изцяло е покрита от керамика, а от вътрешната страна остава естествена и непроменена. Всичко се изработва в лаборатория по индивидуален отпечатък, като е необходимо и точно да се възпроизведе цвета и спецификите и на съседните до фасетите зъби. Изборът пада на този съвременен метод, когато не е необходимо зъбът да се облича с коронки, а е необходимо само да се коригират визуалните дефекти:

оцветявания (тетрациклинови и флуорозни петна, след умъртвяване със стари каналопълнежни средства),

разстояния между зъбите (диастеми и треми),

вродени емайлови хипоплазии,

нарушена форма и размер на зъбите,

изтрити режещи ръбове на резците,

дефекти по емайловата повърхност и патологични ерозии,

неестетични големи възстановявания.

Естетичната стоматология се развива с бързи темпове и едно от последните и постижения са керамичните фасети. С тяхна помощ има възможност да се коригират почти всякакви видове деформации на формата на предните зъби.

Когато пациента не желае да се подложи на ортодонтско лечение за коригиране на диастема и треми, то изборът на фасети е най-безобидният метод за тяхната промяна

Предимства на порцелановите фасети

Керамичната повърхност се счита за най-биосъвместимия и естетичен материал за реставриране на зъби. Напълно съвместим с тъканите на венците. Върху повърхността на керамиката в много по-малка степен от останалите материали се задържа зъбна плака.

Материалът е устойчив на различни пигменти цвят. Не променя своя цвят от различни храни и напитки като кафе, чай, вино, кола, никотин и други. Това се дължи на различните свойства, които притежава – глазирана външна повърхност и непропускливост.

Керамичните фасети имат оптически светлоотразяващ ефект, който наподобява този на емайла, освен това са и напълно прозрачни. Основното свойство, което притежава емайла е прозрачност. Това означава, че когато попадане светлината върху повърхността на емайла, тя не се отразява веднага, а част от нея прониква в по-дълбок слой на емайла, и чак след това тази светлина се отразява от слой дентин, който е непрозрачен. Това свойство на емайла да бъде прозрачен, придава този естествен вид на зъба. Именно заради това керамична фасета не се различават по абсолютно нищо от съседните до тях зъби.

Керамичната повърхност има дълъг живот, тя е износоустойчива и почти не се изтрива.

                        Противопоказания за керамични фасети

*Бруксизъм – това е навик да се стискат силно зъбите или да се скърца. Силата, която се създава е изключително мощна и с лекота би могла да наруши цялостта на фасета.

Вредни навици – държане на химикалка или игла между зъбите. Това може да окаже много голямо натоварване върху керамичната повърхност.

Силно разрушение на цялостта на зъбите – при този случай е по-добре да се направи изцяло покриваща керамична коронка. В такива случаи голяма част от твърдите зъбни тъкани са загубени, а фасетите не повишават здравината на зъба.

Ръбцова захапка

Предразположеност към зъбен кариес – това са пациенти с патологично висока бързина на развитие.

Лоша орална хигиена.

По-долу ще ви представим един нагледен пример с поставяне на фасети, за да опишем колко трудоемко, отговорно и красиво лечение е това. Става въпрос за пациентка във фронталния участък на чиято горна и долна челюст, са поставени фасети. По нейна молба се запазва същият цвят на зъбите.

На снимките се вижда подробно етапите на работа на лабораторията и зъболекаря.Когато пациента има възможност да изчака във времето –около 1 седмица, най-добре е да не се пропуска нито една стъпка от показаните.

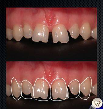
Визуализиран проблем: ортодонтска деформация – ниско заловен френулум на горната устна, разстояние между зъбите (диастема и треми), нарушена форма на зъбите, вредни навици.

Ниско заловеният френулум се разполага прекалено ниско – попада в контура на фронталните зъби. Ще използваме средната линия на лицето, а не тази идваща от френулума. Равномерното разширяване на размера на зъбите ще изчисляваме от размера на централните резци.

Ще нарисуваме  предполагаемите контури на бъдещите фасети за восъчния моделаж.

Восъчния план е готов.Той ще ни помога за всички следващи етапи на работа.

Няма да прибързваме с фасетите, тъй като в два етапа ще направим пластика на френулума и прилежащите меки тъкани.

Лека  пародонтологична подготовка.

 

Силиконовия ключ, изработен върху восъчния моделаж се срязва и се ползва за контролиране на изпиляването. Той ще помага както за работата на лекуващия, така и на зъботехника.

Подобни ключ се прави в сагитално за всеки зъб.

Изработени временни фасети по отпечатък от восъчен моделаж.

Нанасяме маркивовъчни линии по втора провизорна конструкция с борер с диаметър 0,8 мм.

Вече имаме посока и обем на препариране.

Ключът ще ни покаже каква препарация е необходима.

Грубо препариране.

Окончателно препарирани, много добре забележима надвенечната прагова препарация.

След поставянето на ретракционната корада прага никога не се доизпилява цервикално.

Широчината на прага не трябва да е повече от 0,4 мм., тъй като планираме да поставим фасети Е-Мах.Това дава възможност да работим само в областта на емайла и да получим най-добрата адхезия.

Бихме искали да се спрем върху отпечатъка. Без значение с какъв А-силикон ще вземем отпечатък, важното е препарационната граница в никакъв случай да не се спуска под венеца.

 

Още един отпечатъчен материал от същия участък. Детайлите са видими по един и същи начин. Може да се изпробват още куп отпечатъчни материали – резултата ще е един и същ.

Третият работен модел се отлива със същата детайлност,както и работбия.Без загуба на финните учатъци.

Недостатъчно пресирани-за много лаборатории това е крайния резултат.В нашата лаборатория те  ще бъдят дообработени под микроскоп с увеличение 40 пъти.

Вече дообработена до 0,25мм.

Докато се работи в лабораторията пациента е с временни фасети, изработени по восъчния моделаж. Перфектна корекция, фиксране с временен прозрачен цимент.

Готови Е-Мах фасети с обща дебелина 0,4мм.

Същият силиконов ключ. От препарирането и временните фасети до крайния резултат – работата трябва да се извършва в строга последователност и нито стъпка встрани от зададената концепция.

След  14 дни настъпва пълна биоинтеграция на временните коронки.

Тry-in. Готовите фасети се поставят върху зъбите,за да се определи нюанса на цимента посредством оцветен вазелин.

Проба на завършената работа.

Увеличение 25 пъти при пробата не намира проблем в херметичността на цялата работа.

Последователно залепване на фасетките в горна челюст, предстои ни още работа по долната.

Интеграция на меките тъкани 14 дни след фиксирането.

Работата по долните зъби се изпълнява по аналогия на горните.

Обща сравнителна оценка.

нагоре